The Daily Insight

Your source for unbiased news and insightful analysis

science

Should ovarian cysts be monitored?

Written by Olivia Carter — 0 Views

When women experience pelvic pain and abnormal bleeding, doctors can use ultrasound imaging to help find the cause. These scans often also find growths in the ovaries. The most common type, called a simple cyst, isn't usually harmful.

How often should ovarian cysts be checked?

HOW OFTEN SHOULD IMAGING BE REPEATED? In premenopausal women, most simple (thin-walled) ovarian cysts less than 5 cm in maximum diameter resolve in 2 to 3 menstrual cycles and do not require further intervention. Larger cysts (5–7 cm in diameter) should be followed with ultrasonography yearly.

Do ovarian cysts need to be monitored?

In most cases, the cyst often disappears after a few months. A follow-up ultrasound scan may be used to confirm this. If you are postmenopausal, there is a slightly higher risk of ovarian cancer. Regular ultrasound scans and blood tests are usually recommended over the course of a year to monitor the cyst.

When should I be concerned about an ovarian cyst?

Serious cyst concerns

If you have pelvic pain with fever, nausea, and vomiting, it could be a sign you have an infection associated with the cyst. An infection deserves immediate medical attention. Cysts can also rupture or twist β€” a condition called torsion.

What happens if you leave an ovarian cyst untreated?

If left untreated, some cysts can decrease fertility. This is common with endometriomas and polycystic ovary syndrome. To improve fertility, your doctor can remove or shrink the cyst. Functional cysts, cystadenomas, and dermoid cysts do not affect fertility.

Should I Be Concerned About Ovarian Cysts?

31 related questions found

Is there medication to dissolve ovarian cysts?

Functional ovarian cysts generally go away without treatment. Your healthcare provider may give you medications containing hormones (such as birth control pills) to stop ovulation and prevent future cysts from forming.

What is considered a large ovarian cyst?

Types of ovarian cysts and sizes

Generally speaking, surgery isn't recommended for ovarian cysts unless they're larger than 50 to 60 millimeters (mm) (about 2 to 2.4 inches) in size. However, this guideline can vary. For instance, a simple cyst may be left alone until it's 10 cm (4 inches) in size.

Should I go to urgent care for ovarian cyst?

If you have these symptoms, head to the ER…

Occasionally, cysts can rupture, or break open, causing heavy bleeding or severe pain. If you have any of the following symptoms of a ruptured cyst, head to the ER right away: Pain with vomiting and fever. Severe abdominal pain that comes on suddenly.

What is the main cause of ovarian cyst?

The main causes of ovarian cysts may include hormonal imbalance, pregnancy, endometriosis, and pelvic infections. Ovarian cysts are sacs of fluid that form on either the ovary or its surface. Women possess two ovaries which sit on either side of the uterus.

What are the odds of an ovarian cyst being cancerous?

The U.S. Department of Health and Human Services estimates that 5 to 10 percent of women have surgery to remove an ovarian cyst, but only 13 to 21 percent of those are cancerous.

How do you monitor an ovarian cyst?

Ovarian cysts can sometimes be detected during a pelvic examination, although an imaging test, usually a pelvic ultrasound, is necessary to confirm the diagnosis. Computed tomography (CT) scan or magnetic resonance imaging (MRI) are also sometimes used, but less commonly.

How do gynecologists check for ovarian cysts?

If your gynecologist suspects that your symptoms could be due to ovarian cysts the best way to diagnose these cysts is through a pelvic exam or by performing an ultrasound. The ultrasound will allow your doctor to examine the abdomen in detail to see if cysts are present.

How do you detect ovarian cysts?

Ovarian cysts
  1. Physical exam. A doctor may feel a cyst during a pelvic exam.
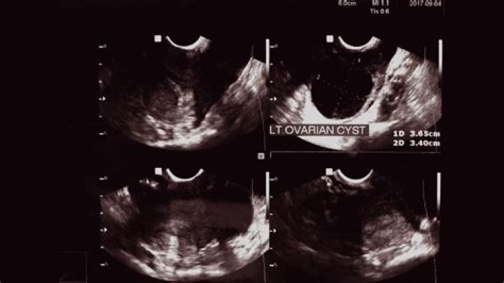
  2. Ultrasound. An ultrasound can pinpoint the location, size, and makeup of ovarian cysts. ...
  3. Blood tests. If you are past menopause or at increased risk for ovarian cancer, your doctor may order CA-125 testing along with other diagnostic studies.

How do I know if my ovarian cyst is getting bigger?

The most common ovarian cyst symptom is pain in the lower right or left side of the lower pelvis, right where the ovaries are, says Dr Shirazian. If you have a larger growth somewhere where there isn't supposed to be one, you're going to feel it.

Can you palpate an ovarian cyst?

A large cyst may be palpable on abdominal examination, but gross ascites may interfere with palpation of an intra-abdominal mass. Although normal ovaries may be palpable during the pelvic examination in thin, premenopausal patients, a palpable ovary should be considered abnormal in a postmenopausal woman.

Is a 4 cm ovarian cyst big?

Most functional cysts are 2 inches in diameter or less and do not require surgery for removal. However, cysts that are larger than 4 centimeters in diameter will usually require surgery.

Can emotional stress cause ovarian cysts?

The team studied 218 subjects over the past decade. Lucknow: Emotional stress can lead to the Poly Cystic Ovarian Syndrome (PC-OS), according to a study conducted by Home-opathic Research Foundation.

Can stress cause cysts?

Causes of Cysts

The type of cyst depends on where it forms – some cysts can be internal (such as in a breast, the ovaries, or the kidneys) while others are external and form in visible locations on the body. Activities like gymnastics, which place large amounts of stress on the wrist, can cause ganglion cysts to form.

Why do ovarian cysts hurt so much?

Ovarian cyst-related pain tends to be worse during your menstrual period. The hormones produced during your period can cause ovarian cysts to form or enlarge, triggering pain. When a cyst ruptures, you may feel sudden, severe pain in your pelvic region.

What will hospital do for ovarian cyst?

You may need care in the hospital if you have severe symptoms from a ruptured cyst. You may be given IV (intravenous) pain medicines through a needle inserted into your vein. You may need to have fluids or blood replaced due to internal bleeding. In rare cases, a ruptured ovarian cyst may need surgery.

What does a burst ovarian cyst feel like?

Symptoms you may experience if you have a ruptured ovarian cyst include: Sudden, sharp pain in the lower belly or back. Vaginal spotting or bleeding. Abdominal bloating.

Where does an ovarian cyst hurt?

Most ovarian cysts are small and don't cause symptoms. If a cyst does cause symptoms, you may have pressure, bloating, swelling, or pain in the lower abdomen on the side of the cyst. This pain may be sharp or dull and may come and go. If a cyst ruptures, it can cause sudden, severe pain.

What causes ovarian cysts to grow bigger?

During ovulation, one of your ovaries will release an egg from a tiny sac called a follicle. A cyst can happen if the follicle grows an egg, but doesn't release it for ovulation. This type of cyst can also happen if a mature follicle collapses on itself. These types of cysts grow up to 2-3 inches in diameter.

Can large ovarian cysts be removed laparoscopically?

Laparoscopy is the treatment of choice in most benign ovarian cysts, but cyst size can be a limiting factor. A large ovarian cyst increases the complexity of a minimally invasive approach because of the difficulty in creating a pneumoperitoneum as well as a decrease in visibility and surgical mobility.

Can you exercise with ovarian cyst?

Exercise and stretching

Exercise and stretching can also help ease pain linked to ovarian cysts. It can also help with muscle tension. Some women get relief from intense exercise such as running, while others prefer gentle stretching and yoga. Exercise can support healthy body weight in women with PCOS.